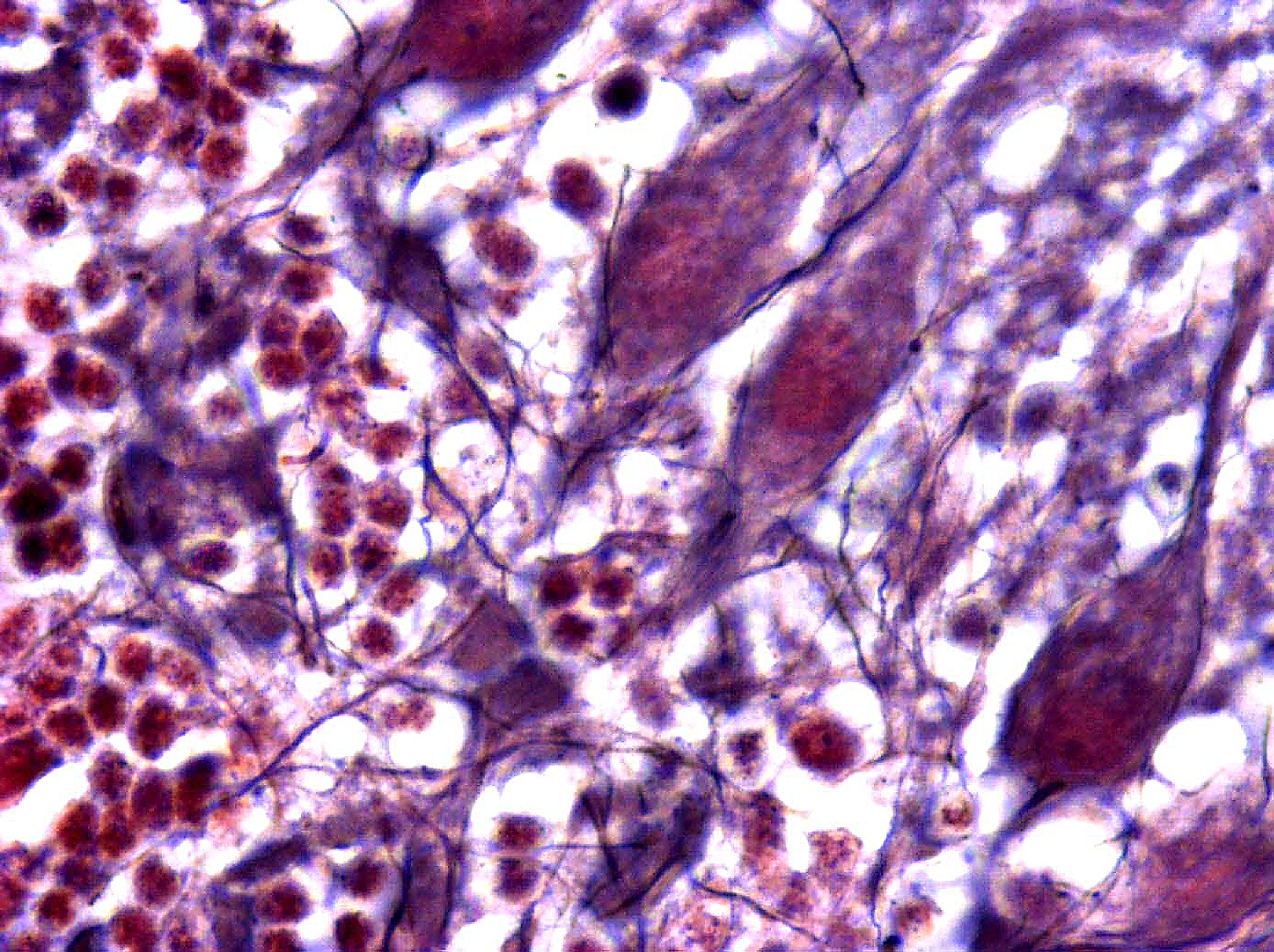
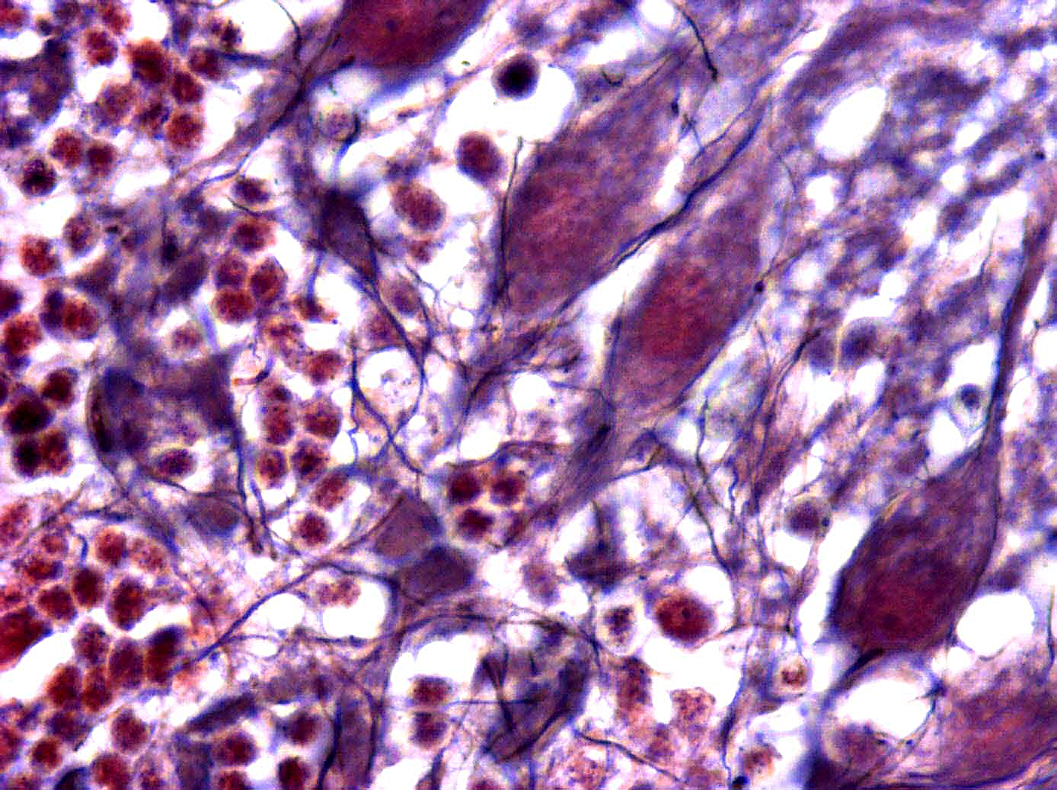
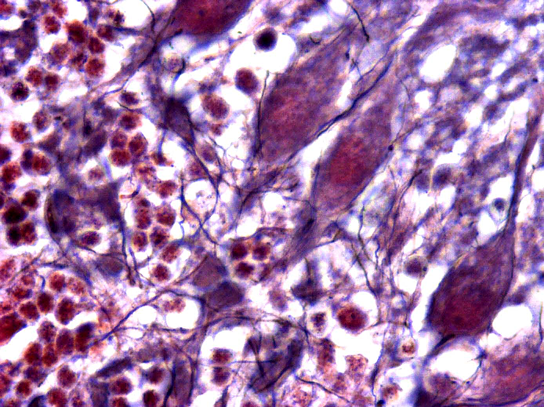
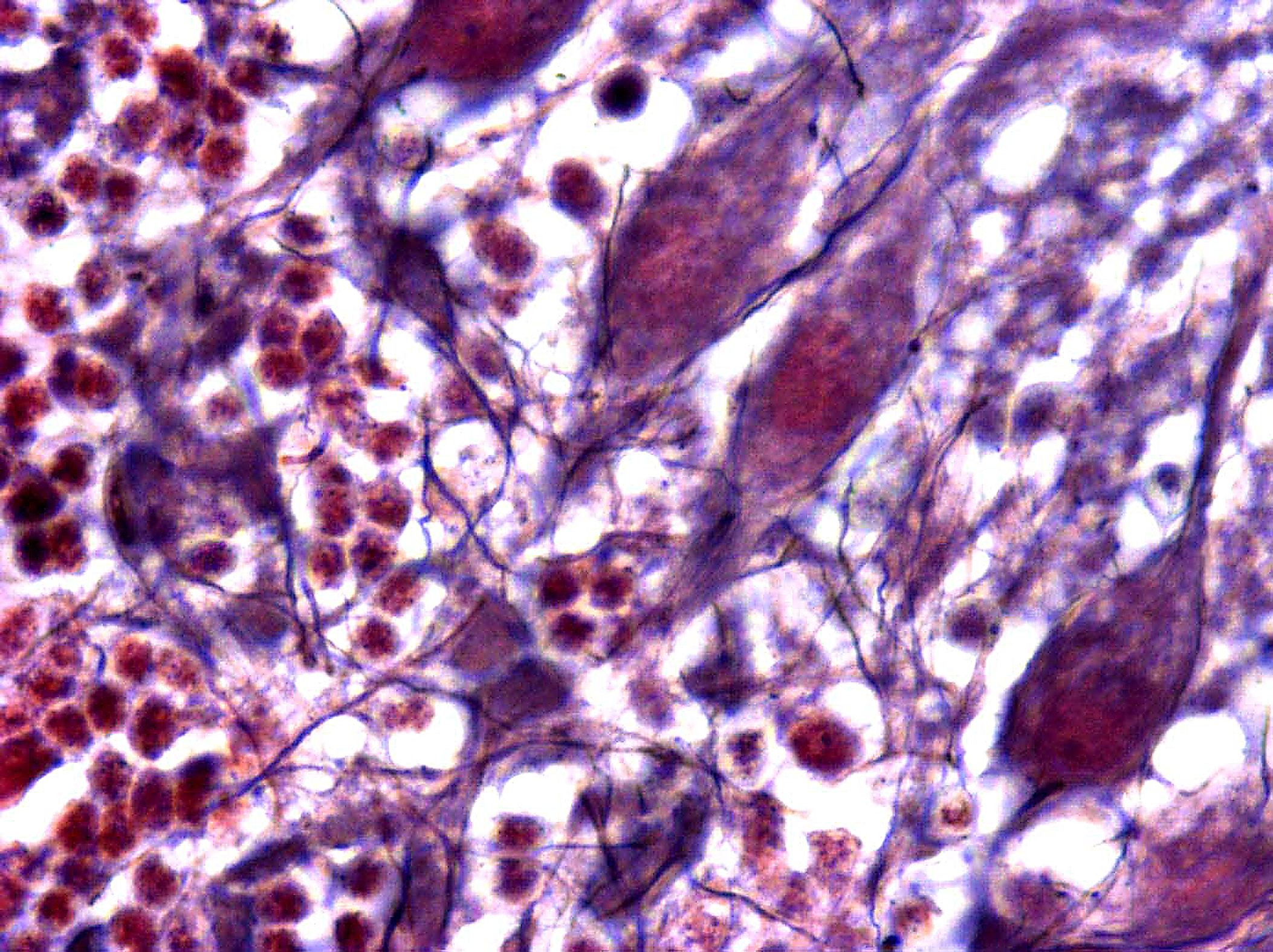
Cellules de Purkinje du cervelet de souris
Coloration de Holmes (X100)
Image dans sa taille originale : 3.16 Mo |

