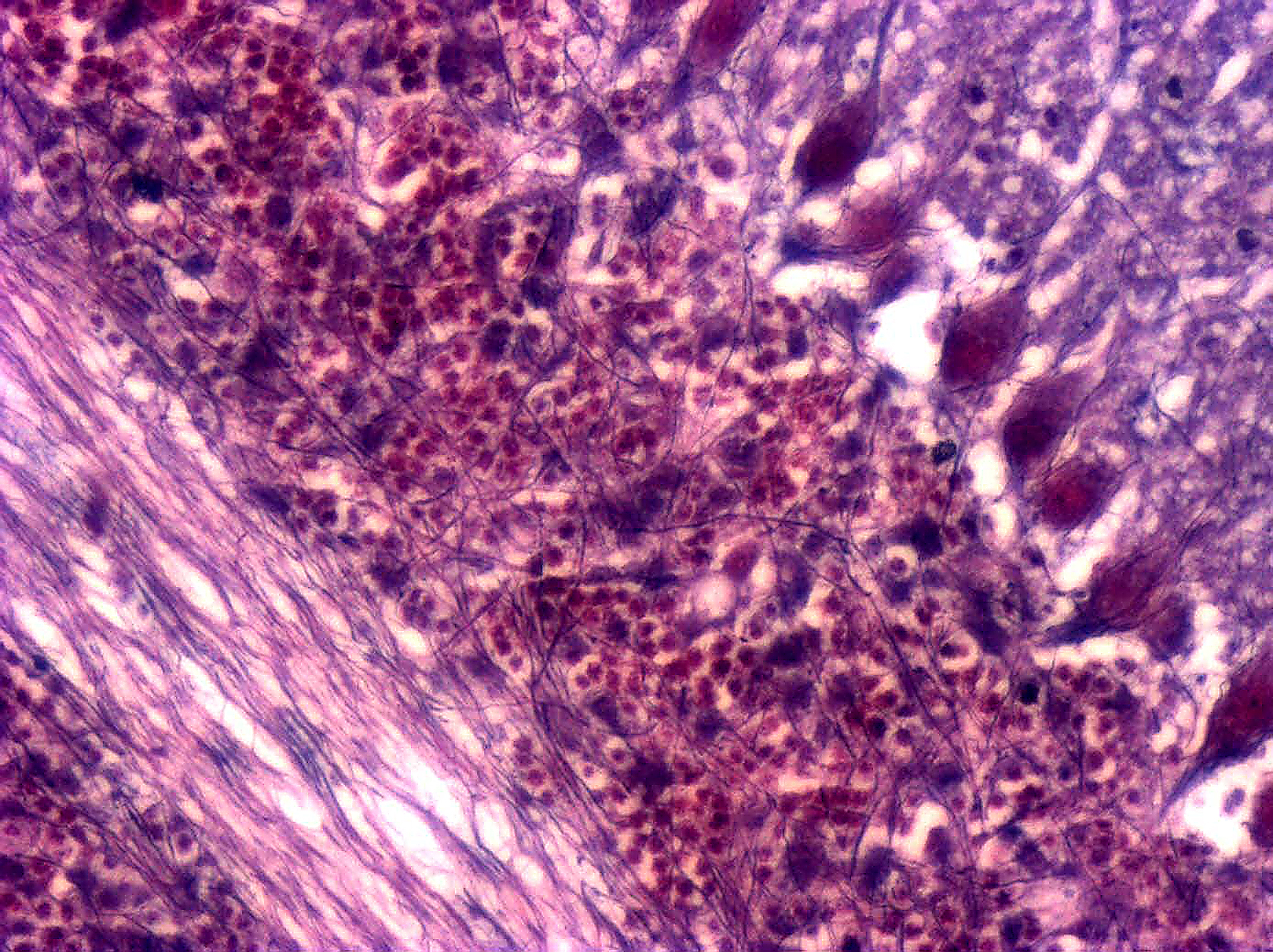
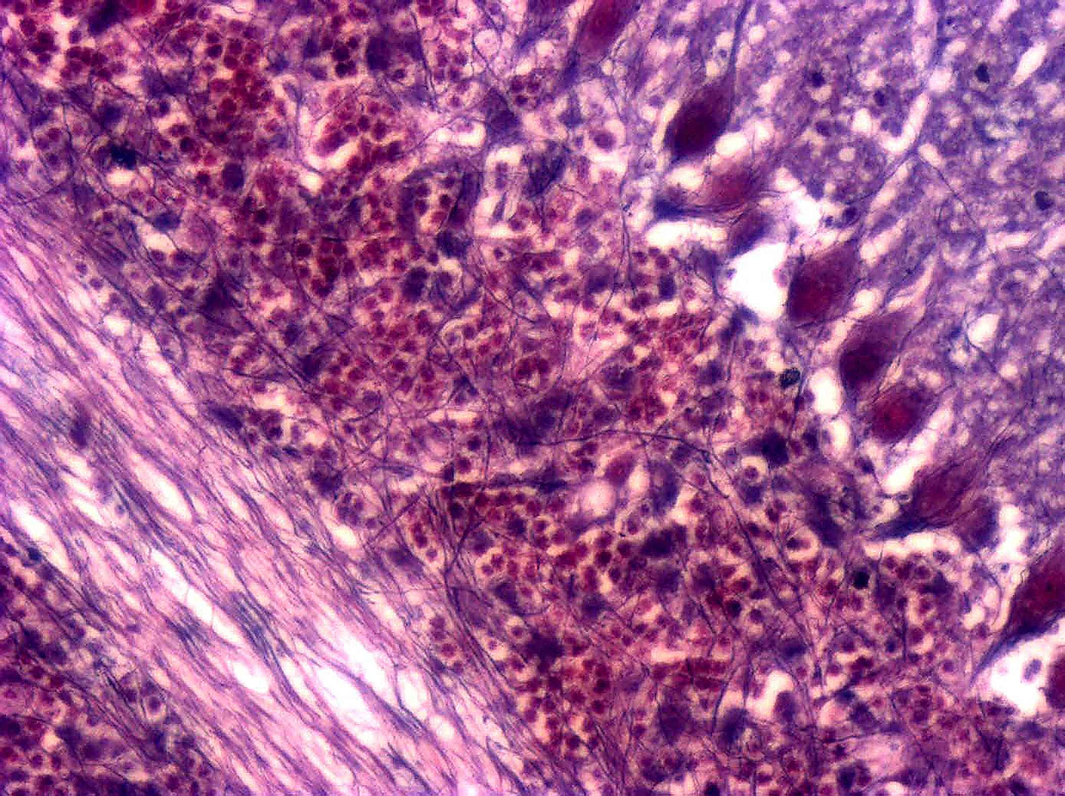
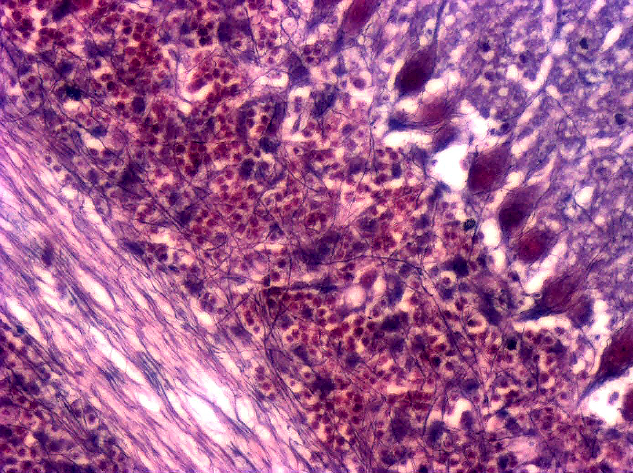
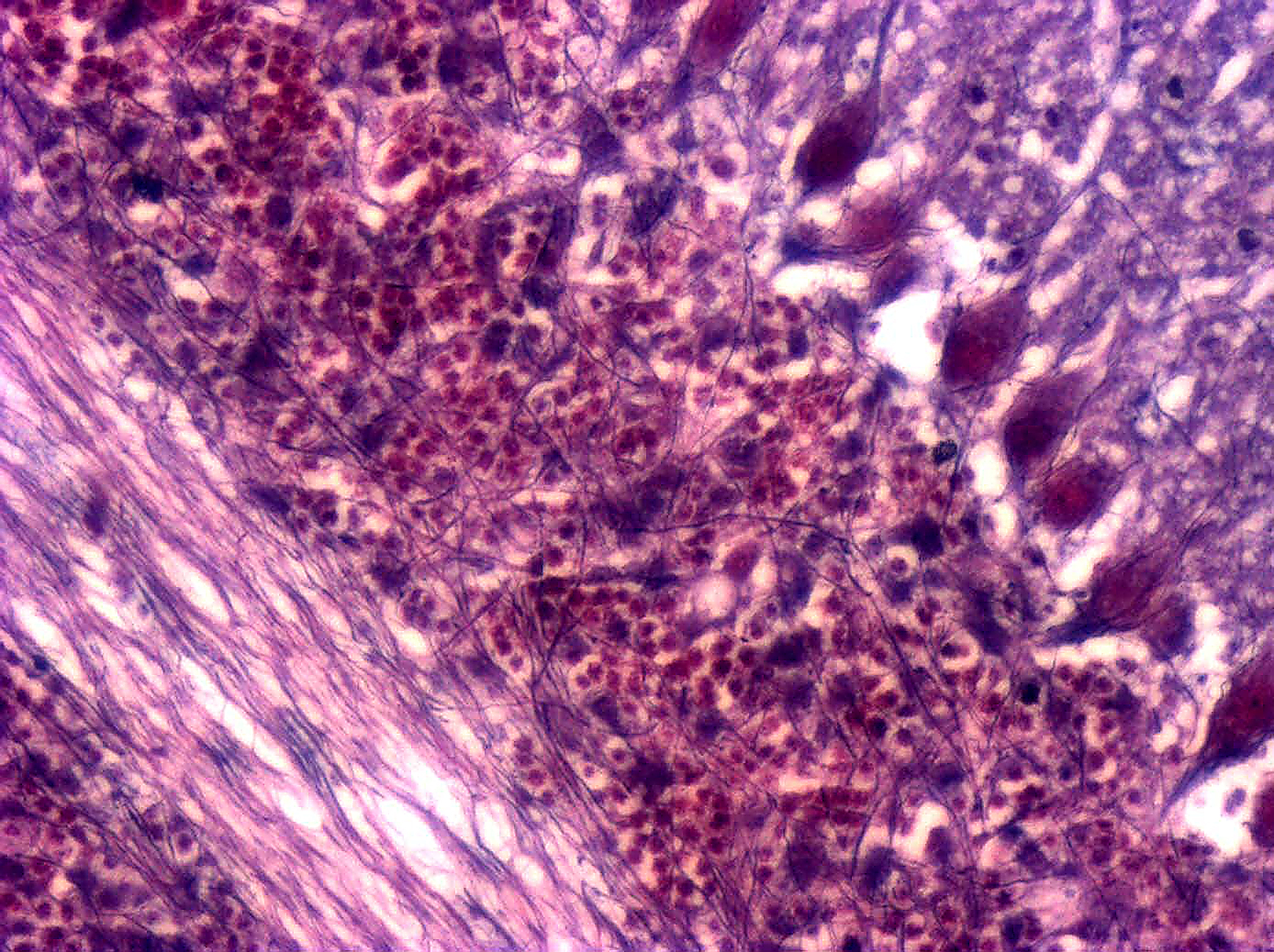
Cellules de Purkinje de cervelet de souris (X40)
Coloration de Holmes
Image dans sa taille originale : 3.34 Mo |

