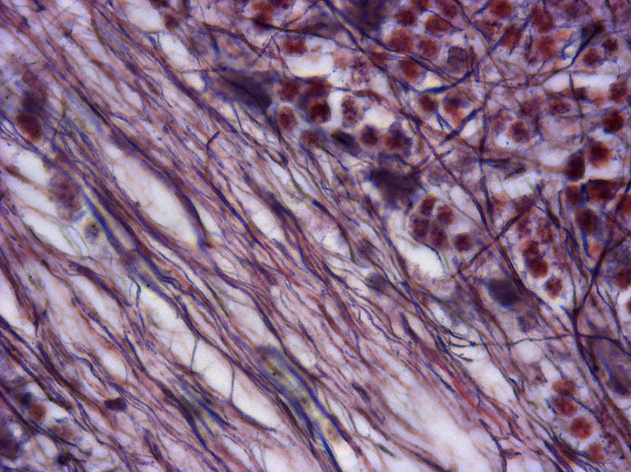
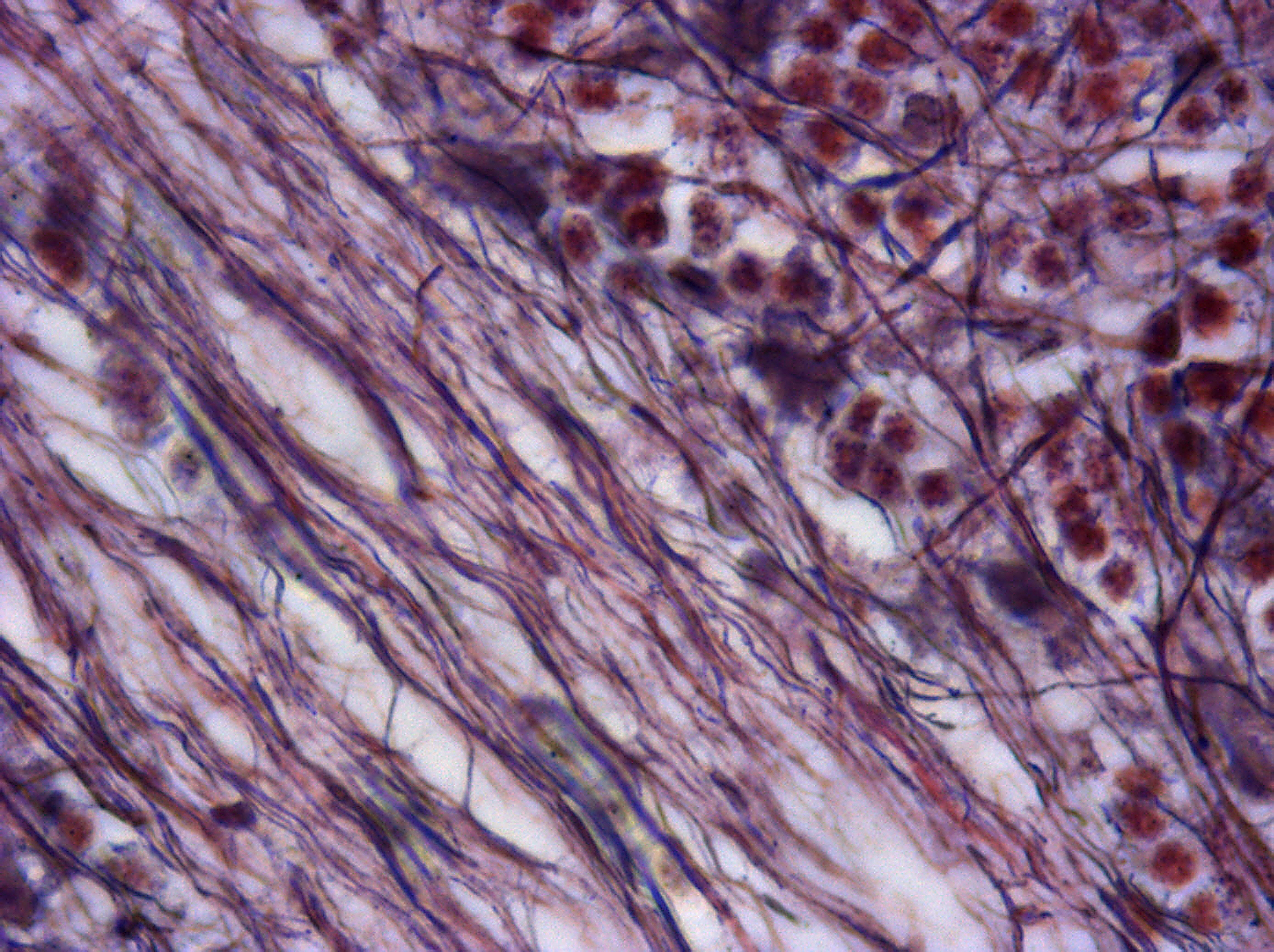
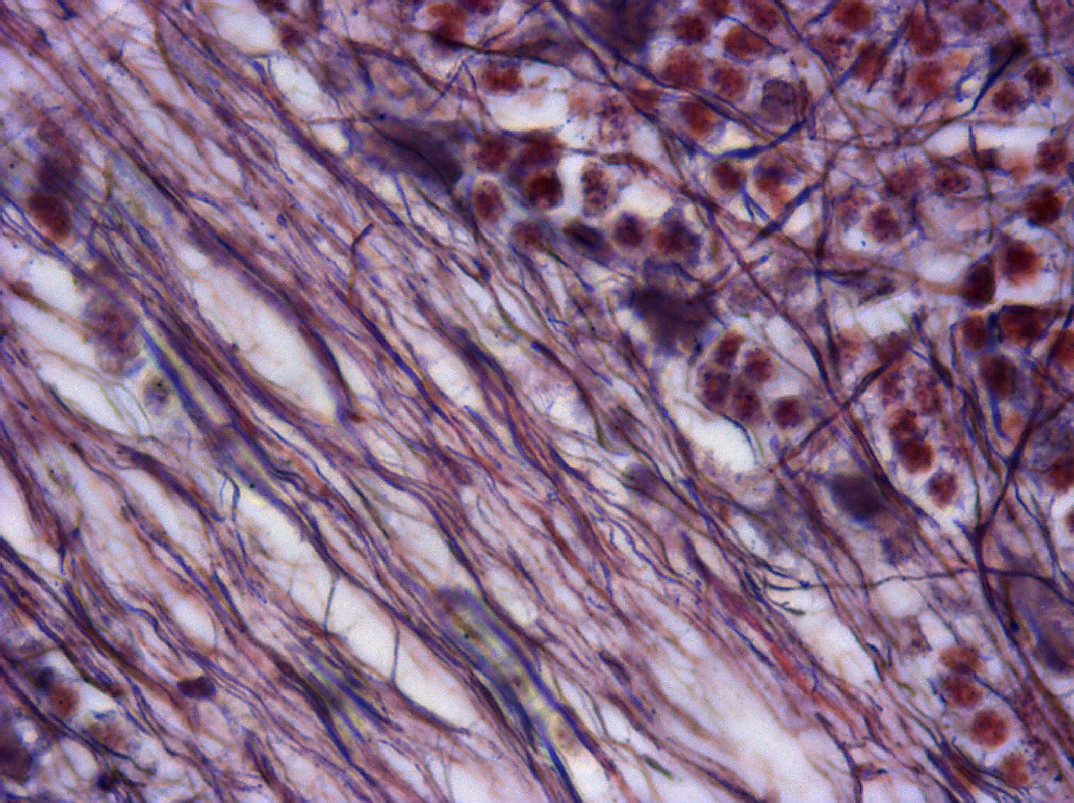
Axones du cervelet de souris (X100)
Coloration de Holmes
Image dans sa taille originale : 3.23 Mo |

